Confident Smiles Start Here


Specializing in braces and clear aligners — painless, proven treatments for a straighter, more confident smile.

Some of our Testimonials

~Rajat Gupta

Dr. Modit Gupta’s clinic offers an excellent dental experience from start to finish. The clinic environment is exceptionally clean and welcoming, immediately putting you at ease. Dr. Gupta himself is highly skilled and possesses a gentle touch, making even complex procedures comfortable.

~Kamini Tiwari

I had an amazing experience getting my braces with Dr.Modit Gupta at Smile Doctor Dental Surgery and Braces Centre. From the initial consultation to the final appointment, the entire process was smooth and well-organised.

~Aparna Vardhan

I had visited Dr. Modit clinic last month for the cleaning of my teeth. Very much satisfied with his services. and now visit him regularly. His dealing with his patients are gentle and his charges are moderate.

~Deepak Bisht

I did My Root canal in Smile Doctor Dental Surgery and Braces Centre Dehradun ,It’s beyond of my expectation ,No pain and I m very happy with DR. MODIT GUPTA .I would recommend to all who is in Doon

~Kp M

I went to him for my braces.very much satisfied
He is always ready to help n charges are also economical
Best dental surgeon

~Shipra Narang

I flew from Dubai to India for a second opinion—and I’m so glad I did. Dr. Modit made a scary wisdom tooth surgery smooth and stress-free. Truly skilled, caring, and highly recommended.

How It Works

1. Consult
2. Aligners/Braces in
3. Smile confidently

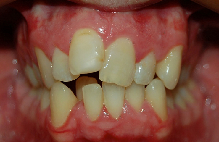
Before

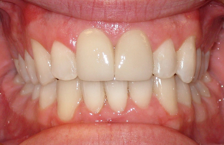
After

Why Choose Us

Certified Orthodontic Specialist
No Visible Wires or Brackets
Pain-Free Guarantee
Flexible Pricing Plans

Book Your Consultation